-37ad077.webp/:/cr=t:0%25,l:0.17%25,w:99.67%25,h:100%25/rs=w:600,h:300,cg:true)
"Experience cutting-edge dental technology at our dental clinic in Pitampura with our latest low radiation X-ray machine and advanced sensor system. Our clinic prioritizes your safety and precision diagnostics, ensuring top-quality care while minimizing radiation exposure during dental procedures."
-d543752.webp/:/rs=w:600,h:300,cg:true,m/cr=w:600,h:300)
"Ensuring your safety is paramount—our dental clinic in Pitampura prioritizes protection from radiation exposure during dental procedures. With state-of-the-art shielding measures and adherence to safety protocols, we safeguard your well-being while delivering top-notch dental care."
-f0617e4.webp/:/cr=t:0%25,l:0%25,w:100%25,h:100%25/rs=w:600,h:300,cg:true)
"Radiation testing is a cornerstone of our commitment to safety in dental procedures at our dental clinic in Pitampura. We employ rigorous testing protocols, ensuring meticulous checks and calibration of equipment to maintain optimal radiation safety standards for our patients' peace of mind."

"Embrace painless anesthesia at our dental clinic in Ghaziabad, where we utilize an advanced cartridge system for precise and comfortable numbing. Experience dental procedures with minimal discomfort, thanks to our innovative and gentle anesthesia techniques."
.jpg/:/cr=t:16.67%25,l:0%25,w:100%25,h:66.67%25/rs=w:600,h:300,cg:true)
"At our dental clinic in Ghaziabad, we pride ourselves on our specialized operatory designed to optimize your dental experience. Our dedicated operatory is equipped with advanced amenities, ensuring a comfortable and tailored environment for precise treatments and exceptional care."
-a963990.webp/:/cr=t:0%25,l:0%25,w:100%25,h:100%25/rs=w:600,h:300,cg:true)
"At our dental clinic in Ghaziabad, we prioritize quality by utilizing materials from reputable companies. Rest assured, our commitment to excellence extends to using top-grade materials for all dental procedures, ensuring lasting results and patient satisfaction."
-6eed546.webp/:/cr=t:0%25,l:0.17%25,w:99.67%25,h:100%25/rs=w:600,h:300,cg:true)
"Discover the innovation of self-ligating braces at our dental clinic in Pitampura, offering a revolutionary orthodontic solution. These braces minimize discomfort and offer quicker treatment times, providing a more comfortable and efficient teeth straightening experience for our patients."
-e4077e0.webp/:/cr=t:0%25,l:0%25,w:100%25,h:100%25/rs=w:600,h:300,cg:true)
"Join us at our dental clinic in Ghaziabad as an Invisalign provider, offering a discreet and comfortable teeth straightening solution. Experience the freedom of clear aligners tailored to your smile's needs, providing a seamless journey to achieving your desired dental alignment."
-2e5621c.webp/:/cr=t:0%25,l:0.17%25,w:99.67%25,h:100%25/rs=w:600,h:300,cg:true)
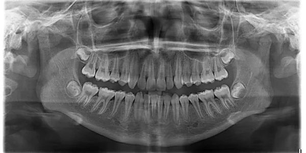
"At our dental clinic in Ghaziabad, we offer the convenience of OPG X-rays, a comprehensive imaging solution that provides a panoramic view of your oral health. Benefit from precise diagnostics and thorough assessments, ensuring comprehensive care tailored to your individual dental needs."
-b326657.webp/:/cr=t:0%25,l:0%25,w:100%25,h:100%25/rs=w:600,h:300,cg:true)
"At our dental clinic in Ghaziabad, we employ cutting-edge intraoral scanners for accurate diagnosis and precision in crafting crowns. Experience advanced technology that ensures detailed imaging and custom crown fabrication, providing efficient and personalized dental solutions for your needs."
-89c19df.webp/:/cr=t:0%25,l:0%25,w:100%25,h:100%25/rs=w:600,h:300,cg:true)
"At our dental clinic in Ghaziabad, we utilize surgical guides for precise implant placement. These guides ensure accurate positioning, enhancing the success and efficiency of implant procedures, providing our patients with reliable and tailored solutions for their dental needs."
-5a1e046.webp/:/cr=t:0%25,l:0%25,w:100%25,h:100%25/rs=w:600,h:300,cg:true)
"At our dental clinic in Ghaziabad, we harness the power of lasers and electrocautery, offering advanced techniques for various dental procedures. These technologies enable precise treatments, minimize discomfort, and promote faster healing, ensuring a superior level of care and comfort for our patients."

"At our dental clinic in Ghaziabad, we prioritize safety with meticulous chemical sterilization methods. Our stringent protocols ensure the complete sterilization of instruments and equipment, maintaining a hygienic environment for optimal patient care and well-being."

"In our dental clinic in Ghaziabad, we adhere to the highest sterilization standards by employing a Class N autoclave. This advanced sterilization technology ensures the complete elimination of pathogens, guaranteeing a safe and sanitized environment for our patients' dental treatments."

"In our dental clinic located in Ghaziabad, we utilize the latest apex locator technology. This cutting-edge device aids in precise root canal measurements, ensuring accuracy and efficiency during endodontic procedures for optimal treatment outcomes and patient comfort."

"At our dental clinic in Ghaziabad, we incorporate UV chambers as part of our sterilization process. These chambers use ultraviolet light to disinfect instruments and surfaces, adding an extra layer of sterilization to ensure a pristine and safe environment for our patients."

"At our dental clinic in Ghaziabad, our endodontists use Admatec Ergo loupes for precision during root canal treatments (RCT). These specialized magnification tools allow for meticulous inspection and intricate work, ensuring thorough and accurate procedures for optimal RCT outcomes."

"At our dental clinic in Ghaziabada, we employ Dentsply endo-motors to enhance precision during intricate procedures like root canal treatments. These advanced tools offer controlled and accurate movements, ensuring meticulous care and successful outcomes for our patients' dental treatments."
We use cookies to analyze website traffic and optimize your website experience. By accepting our use of cookies, your data will be aggregated with all other user data.